മനുഷ്യശരീരത്തിലെ ഗ്രന്ഥികൾ നാളീരഹിതഗ്രന്ഥികൾ എന്നും നാളീസഹിത ഗ്രന്ഥികൾ എന്നും തിരിച്ചിരിക്കുന്നു. നാളീരഹിത ഗ്രന്ഥികളിൽ ഏറ്റവും പ്രധാനപ്പെട്ടതാണ് തൈറോയ്ഡ് ഗ്രന്ഥി. ഇത് നമ്മുടെ ശരീരത്തിൽ കഴുത്തിന്റെ മുൻഭാഗത്തായി ശ്വസനനാളിക്കും പേശികൾക്കുമിടയിൽ സ്ഥിതിചെയ്യുന്നു. ഈ ഗ്രന്ഥിയുടെ ഏകദേശഭാരം 15 - 25 ഗ്രാം ആണ്.
ഈ ഗ്രന്ഥിയിൽ നിന്ന് ഉല്പാദിപ്പിക്കുന്ന പ്രധാന ഹോർമോണുകൾ:
1. തൈറോക്സിൻ.
2. ട്രൈ അയഡോ തൈറോനിൻ.
ഈ ഹോർമോണുകൾ ഉല്പാദിപ്പിക്കുന്നതിനുവേണ്ടിയുള്ള പ്രധാന മൂലകം അയഡിൻ ആണ്. നാം കഴിക്കുന്ന ഭക്ഷണത്തിൽനിന്നും കുടിക്കുന്ന വെള്ളത്തിൽനിന്നുമാണ് അയഡിൻ ലഭിക്കുന്നത്. ഭക്ഷണത്തിൽ നിന്നു ലഭിക്കുന്ന അയഡിൻ രക്തത്തിൽ കലർന്ന് തൈറോയ്ഡ് ഹോർമോൺ ആയി മാറ്റപ്പെടുന്നു. ഇങ്ങനെ ഉല്പാദിപ്പിക്കുന്ന ഹോർമോൺ തൈറോയ്ഡ് ഗ്രന്ഥിയിൽ ശേഖരിച്ചുവയ്ക്കുന്നു. ആവശ്യാനുസരണം തൈറോയ്ഡ് ഗ്രന്ഥിയിൽനിന്ന് ഹോർമോൺ അവയവങ്ങൾക്ക് എത്തിച്ചുകൊടുക്ക പ്പെടുന്നു. ഇതിനെ നിയന്ത്രിക്കുന്നത് നമ്മുടെ ശരീരത്തിലെ മറ്റൊരു ഗ്രന്ഥിയായ പിറ്റ്യൂട്ടറി ഗ്രന്ഥിയാണ്.
തൈറോയ്ഡ് ഗ്രന്ഥിയുടെ പ്രവർത്തനത്തെ മന്ദീഭവിപ്പിക്കുന്ന കാരണങ്ങൾ
പിറ്റ്യുറ്ററി ഗ്രന്ഥിയുടെ പ്രവർത്തനക്കുറവ്, ഭക്ഷണത്തിലെ അയഡിന്റെ കുറവ്, തൈറോയ്ഡിനെ ബാധിക്കുന്ന അണുബാധ, തൈറോയ്ഡിനുണ്ടാകുന്ന ക്യാൻസറുകൾ, ക്യാൻസർരഹിത മുഴകളും കാരണമാവാം. കൂടാതെ നാം കഴിക്കുന്ന ഭക്ഷണത്തിലെ കോളിഫ്ളവർ, മരച്ചീനി തുടങ്ങിയവയുടെ ഉപയോഗം തൈറോയ്ഡ് ഗ്രന്ഥിയുടെ ഹോർമോൺ ഉല്പാദനത്തെ കുറയ്ക്കാം. ചിലയിനം മരുന്നുകളും തൈറോയ്ഡ് ഗ്രന്ഥിയുടെ പ്രവർത്തനത്തെ ബാധിക്കാം.

തൈറോക്സിൻ ആണ് അളവിൽ കൂടുതൽ ഉല്പാദിപ്പിക്കപ്പെടുന്നതെങ്കിലും ഏറ്റവും ശക്തിയേറിയ ഹോർമോൺ, ട്രൈ അയഡോ തൈറോനിൻ ആണ്. ഈ ഹോർമോണിന്റെ പ്രധാന ധർമ്മങ്ങൾ:
കാർബോ ഹൈഡ്രേറ്റ്, കൊഴുപ്പ്, പ്രോട്ടീൻ തുടങ്ങിയവയുടെ ഉപാപചയ പ്രക്രിയകളെ ഉത്തേജിപ്പിക്കുന്നു. തന്മൂലം ശരീരത്തിലെ ഊഷ്മാവ് നിലനിർത്താനും ഹൃദയമിടിപ്പ്, ശരീരശക്തി, തലച്ചോറിന്റെ പ്രവർത്തനം വേണ്ടപോലെ ക്രമീകരിക്കാനും സഹായിക്കുന്നു. കൂടാതെ രക്താണുക്കളുടെ അളവ്, ലൈംഗികാസക്തി, ആർത്തവരക്തത്തിന്റെ അളവ്, ത്വക്കിന്റെ ഭംഗി, മിനുസം, മുടിയുടെ നിറം, കട്ടി എന്നിവയെ തൈറോയ്ഡ് ഹോർമോൺ നിയന്ത്രിക്കുന്നു.
തൈറോയ്ഡിന്റെ രോഗലക്ഷണങ്ങളും രോഗാവസ്ഥയും
1. മുഴയോടുകൂടിയ രോഗാവസ്ഥകൾ.
2. മുഴയില്ലാത്ത രോഗാവസ്ഥകൾ.
ഗോയിറ്റർ
തൈറോയ്ഡിന്റെ വളർച്ച നഗ്നനേത്രങ്ങൾകൊണ്ട് കാണാൻ സാധിക്കുംവിധം വലുതായ അവസ്ഥ. ലോകാരോഗ്യ സംഘടന ഇതിനെ മൂന്നായി തിരിച്ചിട്ടുണ്ട്.
ഗ്രേഡ് സീറോ: കാണാനും സ്പർശിക്കാനും കഴിയാത്തത്.
ഗ്രേഡ് 1: സ്പർശനത്തിൽ മനസിലാവും, കാണാൻ കഴിയില്ല.
ഗ്രേഡ് 2: കാണാനും സ്പർശിക്കാനും കഴിയുന്നവ.
തൈറോയ്ഡ് ഗ്രന്ഥിയുടെ കോശങ്ങളുടെ വളർച്ച മൂലമാണ് ഗോയിറ്റർ (കണ്ഠമുഴ) ഉണ്ടാവുന്നത്. ആവശ്യാനുസരണം തൈറോയ്ഡ് ഹോർമോൺ ഉല്പാദിപ്പിക്കാനുള്ള ശേഷി ഇല്ലാത്തപ്പോൾ കോശങ്ങളുടെ എണ്ണവും വലിപ്പവും കൂടുന്നു. സാധാരണ കണ്ടുവരുന്ന ഗോയിറ്റർ അയഡിന്റെ കുറവുമൂലമാണ്. കേരളത്തിൽ വയനാട്, ഇടുക്കി തുടങ്ങിയ മലയോര മേഖലകളിൽ താമസിക്കുന്നവർക്കിടയിൽ ഗോയിറ്റർ കൂടാൻ കാരണം കുടിവെള്ളത്തിലും ഭക്ഷണത്തിലും അയഡിന്റെ ലഭ്യത കുറഞ്ഞതിനാലാണ്.

ജനസംഖ്യയിൽ പത്തുശതമാനത്തിൽ കൂടുതൽ ഗോയിറ്റർ ഉണ്ടെങ്കിൽ അതിനെ എൻഡെമിക്ക് ഗോയിറ്റർ എന്നുപറയുന്നു. യൂറോപ്പിലെ ആൽപ്സ്, അമേരിക്ക, ഓസ്ട്രേലിയ പർവ്വതനിരകളിൽ താമസിക്കുന്നവർക്കിടയിലും ഈ രോഗം കൂടുതലാണ്. നമ്മുടെ രാജ്യത്ത് ഗോയിറ്റർ ഒഴിവാക്കുന്നതിനായി സർക്കാർ അയഡിൻ കലർത്തിയ ഉപ്പ് നിർബന്ധിതമാക്കി.
പെൺകുട്ടികളുടെയും ആൺകുട്ടികളുടെയും കൗമാരക്കാലത്ത് തൈറോയ്ഡ് ഹോർമോൺ കൂടുതലായതിനാൽ ഗോയിറ്റർ കാണപ്പെടാം. ഗർഭിണി ആയിരിക്കുമ്പോഴും ഗോയിറ്റർ കാണപ്പെടുന്നു. ഇവയെ ഫിസിയോളജിക്കൽ ഗോയിറ്റർ എന്നു വിളിക്കുന്നു.
സോളിറ്ററി നോഡ്യൂൾ,
മൾട്ടി നോഡ്യൂലാർ ഗോയിറ്റർ
തൈറോയ്ഡ് ഗ്രന്ഥിയുടെ വീക്കംകൊണ്ട് ഒറ്റപ്പെട്ടതോ പല വലിപ്പത്തിലുള്ളതോ ആയ മുഴകൾ ഉണ്ടാകാം. ഗ്രന്ഥിയിൽ ഒരു മുഴ മാത്രമാണെങ്കിൽ സോളിറ്ററി നൊഡ്യൂൾ ഗോയിറ്റർ എന്നുപറയുന്നു. ഒന്നിൽ കൂടുതൽ മുഴകൾ ഉണ്ടെങ്കിൽ മൾട്ടി നോഡ്യുലാർ ഗോയിറ്റർ എന്നും പറയുന്നു. തൈറോയ്ഡ് സ്റ്റിമുലേറ്റിംഗ് ഹോർമോണിന്റെ (TSH) ഉല്പാദനത്തിൽ ഉണ്ടാകുന്ന വ്യതിയാനമാണ് ഈ അവസ്ഥയ്ക്കു കാരണം. എന്നാൽ സോളിറ്ററി നൊഡ്യൂൾ തൈറോയ്ഡ് സ്റ്റിമുലേറ്റിംഗ് ഹോർമോണിന്റെ വ്യതിയാനംകൊണ്ടല്ല ഉണ്ടാകുന്നത്. മൾട്ടി നൊഡ്യുലാർ ഗോയിറ്റർ തുടർച്ചയായി വലിപ്പംവയ്ക്കുന്നു. ഇതുമൂലം രോഗിക്ക് ശ്വാസംമുട്ടൽ, ഭക്ഷണമിറക്കാൻ ബുദ്ധിമുട്ട്, സ്വനതന്തുക്കളിലേക്കുള്ള ഞരമ്പിന്റെ (Recurrent Laryngal Nerve) പ്രവർത്തന ത്തെ ബാധിച്ച് ശബ്ദവ്യതിയാനം. എന്നിവ ഉണ്ടാവുന്നു.
ചില ആളുകളിൽ ഈ മുഴയുടെ അമിതവളർച്ച കാരണം തൈറോയ്ഡിനുള്ളിൽ അമിത രക്തസ്രാവം ഉണ്ടാകുന്നു. ഇതുമൂലം രോഗിക്ക് വേദനയും മുഴ പെട്ടെന്ന് വലുതാവുന്നതുപോലെയും അനുഭവപ്പെടാറുണ്ട്. അപൂർവ്വമായി തൈറോയ്ഡ് മുഴ വലുതായി തോളെല്ലിന്റെ അടിഭാഗത്തേക്ക് വളർന്ന് ശ്വാസോച്ഛ്വാസത്തിനും കഴുത്തിലേക്കുള്ള രക്തസംക്രമണത്തിനും തടസ്സം സൃഷ്ടിക്കുന്നു (Retrosternal Goiter). റിട്രോ സ്റ്റേണൽ ഗോയിറ്റർ ഉണ്ടായാൽ എത്രയും പെട്ടെന്ന് ഓപ്പറേഷൻ നടത്തേണ്ടതാണ്.
ടോക്സിക് നോഡുലാർ ഗോയിറ്റർ
തൈറോയ്ഡ് ഗ്രന്ഥിയിൽ ഉണ്ടാകുന്ന മുഴകൾ ചില അവസരങ്ങളിൽ (T3, T4) ഹോർമോൺ 'ഉല്പാദനം കൂട്ടുകയും ഇതിന്റെ ഫലമായി ശരീരം വിയർക്കുക, ഹൃദയമിടിപ്പ് താളംതെറ്റുക എന്നിവ കൂടാതെ കാർഡിയാക് ഫെയിലിയർ എന്ന അവസ്ഥയിലേക്കഁ മാറുകയും ചെയ്യും.
തൈറോയ്ഡ് ഗ്രന്ഥിയുടെ പ്രവർത്തനക്കുറവ് മൂലമുണ്ടാകുന്ന രോഗങ്ങൾ
തൈറോയ്ഡ് ഗ്രന്ഥിയുടെ പ്രവർത്തനക്കുറവ് മൂലമുണ്ടാകുന്ന അവസ്ഥയെ ഹൈപ്പോതൈറോഡിസം എന്നുപറയുന്നു. ഹൈപ്പോ 'തൈറോഡിസം നവജാതശിശുക്കളിലും പ്രായപൂർത്തിയായ വരിലും കാണപ്പെടുന്നു. ഈ രോഗം മുഴകളോടുകൂടിയ ഗ്രന്ഥിവീക്കമോ മുഴയില്ലാതെയോ കാണപ്പെടാം. പ്രായപൂർത്തിയാ യവരിൽ അകാരണമായ ക്ഷീണം, ഉന്മേഷക്കുറവ്, വിളർച്ച, ശരീരത്തിൽ നീര്, ഓർമ്മക്കുറവ്, ശ്വാസംമുട്ടൽ, ഉറക്കക്കൂടുതൽ, മുടികൊഴിച്ചിൽ, പരുപരുത്ത ത്വക്ക്, പതിഞ്ഞ ശബ്ദം, മലബന്ധം, ഓർമ്മക്കുറവ്, കേൾവിക്കുറവ്, മുടികൊഴിച്ചിൽ തുടങ്ങിയവയാണ് കാണുക. സദാസമയവും കിടന്നുറങ്ങാൻ രോഗി ഇഷ്ടപ്പെടുന്നു. മറ്റുള്ളവരേക്കാൾ കൂടുതൽ തണുപ്പ് അനുഭവപ്പെടുന്നു (cold intolerence). ഈ അവസ്ഥ വളരെ കൂടിയാൽ ഇതിനെ മിക്സെഡിമ എന്നുപറയുന്നു. തൈറോയ്ഡ് ഗ്രന്ഥിയുടെ പ്രവർത്തനക്കുറവ് കാരണം കൊളസ്ട്രോൾ വർദ്ധിക്കാം. ഇതുമൂലം രക്തക്കുഴലുകളുടെ വ്യാസം കുറഞ്ഞ് തലച്ചോറിലേക്കും ഹൃദയത്തിലേക്കുമുള്ള രക്തയോട്ടവും കുറയുന്നു.

നവജാതശിശുക്കളിൽ തൈറോയ്ഡ് ഹോർമോണിന്റെ അഭാവംമൂലം മലബന്ധം, ആദ്യദിവസങ്ങളിൽ അമിതമായ മഞ്ഞപ്പിത്തം, മുഖത്തും ശരീരത്തിലും നീര്, പരുക്കൻ കരച്ചിൽ, ഉണങ്ങിയ നാക്ക്, തടിച്ച ചുണ്ടുകൾ, നീരുവച്ച കൺപോളകൾ എന്നിവ കാണാം. ഇതുമൂലം ശാരീരികവും മാനസികവുമായ വളർച്ചക്കുറവ് ഉണ്ടാകാം. പല്ലുകൾ വളരാനുള്ള താമസം, സംസാരിക്കാനും നടക്കാനും താമസം എന്നിവ കൂടാതെ ശരിയായ സമയത്ത് രോഗനിർണ്ണയം നടത്തി ചികിത്സിച്ചില്ലെങ്കിൽ ബുദ്ധിമാന്ദ്യവും ഉണ്ടാവാം (Cretinism).
തൈറോയ്ഡ് ഗ്രന്ഥിയുടെ അമിതപ്രവർത്തനം കൊണ്ടുണ്ടാകുന്ന രോഗങ്ങൾ: (Hyperthyrodism)
തൈറോയ്ഡ് ഹോർമോണുകൾ അമിതമായി ഉല്പാദിപ്പിക്കപ്പെടുമ്പോൾ ശരീരത്തിലെ എല്ലാവിധ ഉപാപചയക്രിയകളും അമിതമായിപ്രവർത്തിക്കുന്നു. സാധാരണയായി തൈറോയ്ഡ് മുഴ ഇല്ലാത്ത ഒരാളിൽ തൈറോയ്ഡ് മുഴ കാണുകയും തൈറോയ്ഡ് ഹോർമോണിന്റെ ആധിക്യത്താൽ രോഗലക്ഷണങ്ങൾ കാണുകയും ചെയ്താൽ പ്രൈമറി തൈറോ ടോക്സിക്കോസിസ് എന്നു വിളിക്കുന്നു.
14-ാം നൂറ്റാണ്ടിൽ അയർലൻഡുകാരനായ റോബർട്ട് ഗ്രെയ്വ്സ് ആണ് ഇതു കണ്ടുപിടിച്ചത്. അതിനാൽ ഈ രോഗത്തെ ഗ്രെയ്വ്സ് ഡിസീസ് (Graves' disease) എന്നും വിളിക്കുന്നു. എന്നാൽ ഒരാളിൽ തൈറോയ്ഡ് ഗ്രന്ഥിയിൽ വീക്കം വർഷങ്ങളായി ഉണ്ടാവുകയും അതിൽനിന്നും അധികമായി ഹോർമോൺ ഉല്പാദിപ്പിക്കപ്പെടുകയും ചെയ്യുന്ന രോഗത്തെ സെക്കൻഡറി തൈറോ ടോക്സിക്കോസിസ് (Thyro toxicosis) എന്നു പറയുന്നു.
പ്രൈമറി തൈറോ ടോക്സിക്കോസിസ് പ്രധാനമായി മനസിനേയും തലച്ചോറിനേയും ബാധിക്കുമ്പോൾ സെക്കൻഡറി തൈറോടോക്സിക്കോസിസ് ഹൃദയത്തെ ബാധിക്കുന്നു.
പ്രൈമറി തൈറോ ടോക്സിക്കോസിസിന്റെ പ്രധാന ലക്ഷണങ്ങൾ
അകാരണമായ ആകാംക്ഷ, വെപ്രാളം, നെഞ്ചിടിപ്പ്, കൈകാൽ വിറയൽ, കണ്ണുകൾ തള്ളിവരിക, അമിത മായി ആഹാരം കഴിക്കുകയും ശരീരം നാൾക്കുനാൾ ശോഷിച്ചുവരികയും ചെയ്യും. പേശികളിൽ ഉണ്ടാകുന്ന ക്ഷീണംമൂലം കസേരയിൽ ഇരുന്നിട്ട് എഴുന്നേല്ക്കാൻ ബുദ്ധിമുട്ടുവരിക, മറ്റുള്ളവരേക്കാളും ചൂട് അനുഭവപ്പെടുക, സങ്കടം, കരച്ചിൽ, കോപം തുടങ്ങിയവ അനിയന്ത്രിതമായി അനുഭവപ്പെട്ട് രോഗി മാനസികാശുപത്രിയിൽ പ്രവേശിപ്പിക്കപ്പെട്ടേക്കാം. ഈ രോഗലക്ഷണമുള്ളവരെ കണ്ടെത്തി തൈറോയ്ഡ് ഹോർമോണുകളുടെ ഉല്പാദനം കുറച്ചാൽ പൂർണമായും ചികിത്സിച്ചു മാറ്റാവുന്നതാണ്. ഇതിനു മൂന്നുവിധത്തിലുള്ള ചികിത്സാരീതികൾ ഉണ്ട്.

1. ആന്റിതൈറോയ്ഡ് ഡ്രഗ്സ് നൽകി ഹോർമോൺ ഉല്പാദനം കുറയ്ക്കുന്ന രീതി.
2. റേഡിയോ അയഡിൻ എന്ന തുള്ളിമരുന്ന് നൽകി തൈറോയ്ഡ് കോശങ്ങളെ നശിപ്പിക്കുന്ന രീതി.
3. ശസ്ത്രക്രിയകൊണ്ട് തൈറോയ്ഡിനെ പൂർണ്ണമായി നീക്കംചെയ്യുന്ന രീതി.
4. ഗർഭിണികൾക്കും ഗർഭിണിയാകാൻ സാധ്യതയുള്ളവർക്കും റേഡിയോ അയഡൈഡ് തുള്ളിമരുന്ന് കൊടുക്കാൻ പാടുള്ളതല്ല.
പെട്ടെന്നുള്ള രോഗശമനം ശസ്ത്രക്രിയകൊണ്ടേ സാധിക്കുകയുള്ളൂ.
തൈറോയ്ഡൈറ്റീസ് / തൈറോയ്ഡ് ഗ്രന്ഥിയുടെ വീക്കം
ബാക്ടീരിയ, വൈറസ് തുടങ്ങിയവയുടെ പ്രവർത്തനം കൊണ്ട് തൈറോയ്ഡ് ഗ്രന്ഥിയിൽ വീക്കവും വേദനയും പനിയും ഉണ്ടാകും. വേദനസംഹാരി മരുന്നുകളും ആന്റിബയോട്ടിക്സ് കൊണ്ടും ബാക്ടീരിയകൊണ്ടുണ്ടാകുന്ന തൈറോയ്ഡിറ്റിസ് ചികിത്സിച്ചു ഭേദമാക്കാം.
അർബുദരോഗങ്ങൾ
കൊണ്ടുണ്ടാകുന്ന രോഗങ്ങൾ
1. പാപ്പിലറി കാർസിനോമ തൈറോയ്ഡ് (80%).
2. ഫോളിക്കുലാർ കാർസിനോമ തൈറോയ്ഡ് (10%).
3. അനാപ്ലാസ്റ്റിക് കാർസിനോമ (5%).
4. മെഡുലറി കാർസിനോമ തൈറോയ്ഡ് (2.5%).
5. ലിംഫോമ തൈറോയ്ഡ് (2.5%).
പാപ്പിലറി കാർസിനോമ തൈറോയ്ഡ്
തൈറോയ്ഡിനെ ബാധിക്കുന്ന ഏറ്റവും പ്രധാനപ്പെട്ട ക്യാൻസർ രോഗമാണിത്. ഇത് മൂന്നുതരത്തിൽ കാണപ്പെടാം.
1. മുഴകളോടുകൂടിയ തൈറോയ്ഡ് ഗ്രന്ഥിയുടെ വീക്കം.
2. മുഴകളും കഴുത്തിനുണ്ടാകുന്ന കഴലവീക്കവും.
3. മുഴകളില്ലാതെ കഴലവീക്കം മാത്രം കാണപ്പെടുന്നത്.
രോഗലക്ഷണങ്ങൾ
(1) തൈറോയ്ഡ് ഗ്രന്ഥി വീർത്തുവരിക.
(2) തൈറോയ്ഡ് ഗ്രന്ഥിയുടെ കട്ടികൂടുക.
(3) പെട്ടെന്ന് കാണപ്പെടുന്ന തൈറോയ്ഡ് മുഴകൾ.
(4) കഴുത്തിന് ഒരുവശത്തോ ഇരുവശത്തോ ആയി കഴല വീർത്തുവരിക.
(5) ശബ്ദവ്യത്യാസം.
6) ശ്വാസംമുട്ടൽ.
(7) ഭക്ഷണം ഇറക്കാൻ ബുദ്ധിമുട്ട്.
ഈ തൈറോയ്ഡ് ക്യാൻസർ, വനിതകളിലാണ് കൂടുതൽ കാണപ്പെടുന്നത്. മറ്റ് അവയവങ്ങളിൽ കാണപ്പെടുന്ന ക്യാൻസറും തൈറോയ്ഡ് ഗ്രന്ഥിയിൽ കാണപ്പെടുന്ന തിന്റെയും വ്യത്യാസം ചെറുപ്പക്കാരിൽ ഈ ക്യാൻസറിന്റെ പ്രത്യാഘാതം വളരെ കുറവാണ് എന്നതാണ്. ഈ ക്യാൻസർ നേരത്തെ കണ്ടുപിടിച്ച് ശസ്ത്രക്രിയയിലൂടെ പരിപൂർണമായി മാറ്റാവുന്നതും സാധാരണ ജീവിതദൈർഘ്യം ലഭിക്കുന്നതുമാണ്.

സാധാരണ ജീവിതദൈർഘ്യം ലഭിക്കുന്ന അവസ്ഥകൾ:
(1) സ്ത്രീ രോഗികൾ.
(2) ക്യാൻസർ കോശങ്ങൾ പുറത്തേക്ക് പോവാതെ തൈറോയ്ഡ് ഗ്രന്ഥിയിൽ മാത്രം കാണപ്പെടുന്ന അവസ്ഥ.
(3) രോഗിയുടെ പ്രായം 55 വയസ്സിൽ താഴെ.
(4) കഴലകളിലോ മറ്റു ശരീരഭാഗങ്ങളിലോ ബാധിക്കാത്ത സ്ഥിതി.
ഫോളിക്കുലാർ കാർസിനോമ തൈറോയ്ഡ്
ഗ്രന്ഥിയിൽ ഉണ്ടാവുന്ന രണ്ടാമത്തെ പ്രധാന അർബുദ രോഗമാണ് ഫോളിക്കുലാർ കാർസിനോമ. ഇത് പാരമ്പര്യമായി വളരെക്കാലമായി വളർന്നുകൊണ്ടിരിക്കുന്ന തൈറോയ്ഡ് ഗ്രന്ഥിയുടെ മുഴകളിൽനിന്ന് ഉണ്ടാവാം. ഇത് സാധാരണയായി ചെറുപ്പക്കാരെ ബാധിക്കുന്ന തൈറോയ്ഡ് ക്യാൻസറാണ്. ഈ ക്യാൻസർ, തൈറോയ്ഡിൽനിന്ന് രക്തത്തിൽ കൂടി പകർന്ന് തലയോട്ടിലും നട്ടെല്ലിലും ട്യൂമറായി കാണപ്പെടുന്നു.
അനാപ്ലാസ്റ്റിക് കാർസിനോമ (2.5%)
പാപ്പിലറി കാർസിനോമയും ഫോളിക്കുലാർ കാർസിനോമയും കഴിഞ്ഞാൽ തൈറോയ്ഡ് ഗ്രന്ഥിയിൽ കാണപ്പെടുന്ന കാർസിനോമയാണിത്. ഇത് കല്ലുപോലെ കട്ടിയുള്ളതും ശ്വാസംമുട്ടൽ, ശബ്ദവ്യതിയാനം, ഭക്ഷണമിറക്കാനുള്ള ബുദ്ധിമുട്ട് എന്നിവയോടെ കാണപ്പെടുന്നു. അനാപ്ലാസ്റ്റിക് കാർസിനോമയ്ക്ക് ജീവിതദൈർഘ്യം വളരെയേറെ കുറവാണ്. ഈ അവസ്ഥയിൽ മിക്കപ്പോഴും സർജറി ചെയ്യാൻ കഴിയാതെ വരുന്നു. അങ്ങനെവന്നാൽ പുറമേയുള്ള റേഡിയേഷൻ ചികിത്സാരീതി (external beam radiation) മാത്രമേ നൽകുവാൻ കഴിയുകയുള്ളൂ.
മെഡുലറി കാർസിനോമ തൈറോയ്ഡ് (2.5%)
വളരെ അപൂർവ്വമായി കാണപ്പെടുന്ന ക്യാൻസറാണിത്. തൈറോയ്ഡിലെ പാരാഫോളിക്കുലാർ കോശങ്ങളിൽ (para follicular cells) നിന്നുണ്ടാകുന്ന ക്യാൻസറാണിത്. തൈറോയ്ഡ് മുഴയും, ശബ്ദവ്യതിയാനം, ശ്വാസംമുട്ട്, ഭക്ഷണമിറക്കാൻ ബുദ്ധിമുട്ട്, കഴലവീക്കം തുടങ്ങിയ രോഗലക്ഷണങ്ങളോടെയും കാണപ്പെടുന്നു.

ഈ അപൂർവ്വരോഗത്തിന് രോഗനിർണയം നടത്തുന്നത് നീര് കുത്തി (FNAC) പരിശോധിച്ചും, രക്തത്തിലെ calcitonin (കാൽസിടോണിൻ) എന്ന ഹോർമോണിന്റെ അധിക അളവിൽ നിന്നുമാണ് . ഇതിന്റെ പ്രധാന പ്രത്യേകത ശസ്ത്രക്രിയ മാത്രമേ ഈ രോഗത്തിനു പ്രതിവിധിയുള്ളു എന്ന വസ്തുതയാണ് . ഇത് പാരമ്പര്യമായും അല്ലാതെയും കാണപ്പെടുന്നുണ്ട്.
ലിംഫോമ തൈറോയ്ഡ് (2.5%)
(Lymphoma Thyroid)
ഈ അപൂർവ്വ ക്യാൻസർ മധ്യവയസ്കരിലും പ്രായമായവരിലും കാണപ്പെടുന്നു. രോഗനിർണയം നടത്തുന്നത് FNAC പരിശോധനയിലൂടെയാണ്. സർജറികൊണ്ടും റേഡിയേഷൻ, കീമോതെറാപ്പി എന്നിവ കൊണ്ടും ചികിത്സിച്ചു ഭേദമാക്കാം.
പ്രധാന രോഗനിർണ്ണയ പരിശോധനകൾ
1. രോഗലക്ഷണങ്ങൾ കൊണ്ടും ഡോക്ടറുടെ പരിശോധനകൊണ്ടും രോഗനിർണയം നടത്താം. തൊണ്ടമുഴ, നെഞ്ചിടിപ്പ്, ഉറക്കമില്ലായ്മ, വിശപ്പില്ലായ്മ, അതികഠിനമായ വിശപ്പ്, ശരീരം ശോഷിച്ചു വരിക, വയറിളക്കം, കണ്ണുകൾ തള്ളി വരിക, മാനസിക പിരിമുറുക്കം, മാസമുറ തെറ്റുക, ഗർഭഛിദ്രം ഉണ്ടാവുക, ഗർഭിണിയാകാനുള്ള സാധ്യത കുറയുക തുടങ്ങിയ ലക്ഷണങ്ങളും, തൈറോയ്ഡ് ഗ്രന്ഥിയിലെ മുഴകൾ പെട്ടെന്നു വളരുകയും കഴുത്തിലെ കഴലകൾ പെട്ടെന്നു വീർത്തുവരികയും ചെയ്യുന്നതുമാണ് മറ്റു രോഗലക്ഷണങ്ങൾ.
2. രക്തപരിശോധനകൾ: T3, T4, TSH
സിറം ടെറ്റോ തൈറോനിൻ, സിറം തൈറോക്സിൻ, സിറം തൈറോയിഡ് സ്റ്റിമുലേറ്റിംഗ് ഹോർമോൺ എന്നിവ പ്രാഥമിക പരിശോധനയാണ്.
T3, T4 കുറഞ്ഞിരിക്കുകയും, TSH കൂടുകയും ചെയ്താൽ തൈറോയ്ഡ് ഹോർമോണിന്റെ ഉല്പാദനം കുറഞ്ഞ അവസ്ഥയാണ്. ഇതിനെയാണ് നാം ഹൈപ്പോ തൈറോയ്ഡിസം (Hypothyrodism) എന്നു പറയുന്നത്. ഇതിനു നേർവിപരീതമാണ് ഹൈപ്പർ തൈറോയ്ഡിസം (Hyper thyrodism). ഈ അവസ്ഥയിൽ T3, T4 ഹോർമോൺ ഉല്പാദനം കൂടുകയും TSH ന്റെ ഉല്പാദനം കുറയുകയും ചെയ്യുന്ന അവസ്ഥ. മെഡുലറി കാർസിനോമാ തൈറോയ്ഡ് കണ്ടുപിടിക്കുന്നതിനു വേണ്ടി സീറം കാൽസിട്ടോണിൻ ടെസ്റ്റ് ഉപയോഗപ്രദമാണ്.
തൈറോയ്ഡ് ആന്റിബോഡിസ്, തൈറോ ഗ്ലോബുലിൻ (Thyroglobulin) ടെസ്റ്റുകൾ
വൈറസ്, ബാക്ടീരിയ തുടങ്ങിയവയുടെ ലക്ഷണങ്ങളോടുകൂടിയ തൈറോയ്ഡ് രോഗങ്ങൾ കണ്ടുപിടിക്കാനായി തൈറോയ്ഡ് ആന്റിബോഡി പരിശോധന നടത്തുന്നു. തൈറോഗ്ലോബുലിൻ പരിശോധന നടത്തുന്നത് തൈറോയ്ഡ് ക്യാൻസർ ശസ്ത്രക്രിയയിലൂടെ നീക്കം ചെയ്യപ്പെട്ടശേഷം തൈറോയ്ഡ് കോശങ്ങൾ കഴുത്തിലോ ശരീരത്തിലെ മറ്റു ഭാഗങ്ങളിലോ അവശേഷിക്കുന്നുണ്ടോ എന്നു കണ്ടുപിടിക്കുന്നതിനാണ്.

USG, Neck അൾട്രാസോണോഗ്രാം ഉപയോഗിച്ചുള്ള പരിശോധനകൾ
ഈ പരിശോധന ശബ്ദതരംഗങ്ങൾ ഉപയോഗിച്ചു കഴുത്തിലെ തൈറോയ്ഡ് വളർച്ച, കഴുത്തിലെ കഴലകൾ വീർത്തിട്ടുണ്ടോ എന്നു കണ്ടുപിടിക്കുന്നതിനുള്ളതാണ് . യാതൊരു പാർശ്വഫലങ്ങളും ഇല്ലാത്തതാണ് എന്നു പറ യാം. എന്നാൽ ചെയ്യുന്ന ആളി ന്റെ വൈദഗ്ദ്ധ്യം പ്രധാനമാണ്.
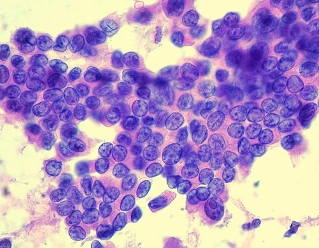
FNAC ചെയ്യുമ്പോൾ കൃത്യമായി, രോഗമുള്ള ഗ്രന്ഥിയുടെ ഭാഗത്തുനിന്നും കോശങ്ങൾ വലിച്ചെടുത്ത് പരിശോധിക്കുന്നതിന് സാധിക്കുന്നു.
FNAC (ഫൈൻ നീഡിൽ അസ്പിരേഷൻ സൈറ്റോളജി)
ഈ പരിശോധനാരീതി OP- യിൽ നടത്താവുന്നതാണ്. ഇതിനാവശ്യമായ സാധനങ്ങൾ 23 G Needle, 10 cc സിറിഞ്ച്, 4-5 ഗ്ലാസ് സ്ലൈഡുകൾ, പ്രത്യേകയിനം സ്റ്റെയിനുകൾ തുടങ്ങിയവയാണ്. എല്ലാ തൈറോയ്ഡ് ക്യാൻസറുകളും (ഫോളിക്കുലാർ ക്യാൻസർ ഒഴികെ) ഇതിലൂടെ രോഗനിർണ്ണയം നടത്താവുന്നതാണ്. കൂടാതെ മൾട്ടി നോഡുലാർ, ഗോയിറ്റർ വൈറസ്, ബാക്ടീരിയ തുടങ്ങിയവകൊണ്ട് ഉണ്ടാവുന്ന തൈറോയ്ഡ് രോഗങ്ങൾ എന്നിവയും FNAC കൊണ്ട് രോഗനിർണയം നടത്താം.
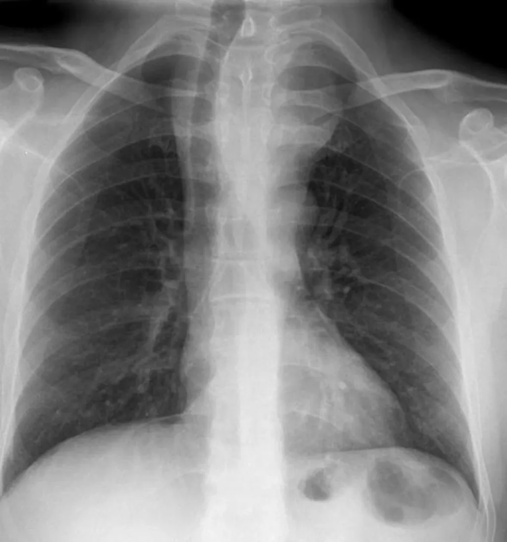
കഴുത്തിന്റെയും നെഞ്ചിന്റെയും
എക്സ്-റേ പരിശോധന
ശ്വാസനാളത്തിന്റെ വ്യാസം, ദിശമാറ്റം, അന്നനാളത്തിൽ ഉണ്ടാകുന്ന വ്യതിയാനം, തൈറോയ്ഡ് ഗ്രന്ഥി വളർന്ന് കഴുത്തിലേക്ക് അധികരിച്ചിട്ടുണ്ടോ എന്നറിയാൻ കഴുത്തിന്റെ എക്സ്-റേ കൊണ്ട് സാധിക്കുന്നു. കൂടാതെ കഴുത്തിലെ കശേരുക്കളുടെ രോഗാവസ്ഥ മനസ്സിലാക്കാനും ഇത് ഉപകരിക്കുന്നു. നെഞ്ചിന്റെ എക്സ്-റേ നെഞ്ചിലേക്ക് തൈറോയ്ഡ് വളർന്നുവരുന്ന അവസ്ഥ (Retro Sternal goitre) മനസ്സിലാക്കുന്നതിനും ശ്വാസകോശങ്ങളുടെയും ഹൃദയത്തിന്റെയും രോഗാവസ്ഥ മനസ്സിലാക്കാനും ഉപകരിക്കുന്നു.
സി.ടി (CT: Neck and Chest)
വളരെ അപൂർവ്വമായി കഴുത്തിന്റെയും നെഞ്ചിന്റെയും സി.ടി സ്കാനുകൾ ചെയ്യാറുണ്ട്.
വിവിധതരം ചികിത്സാരീതികൾ
1. മൾട്ടി നോഡുലാർ ഗോയിറ്റർ (Multi nodular goitre):
എല്ലാവിധ പരിശോധനകൾക്കുംശേഷം തൈറോയ്ഡ് ഗ്രന്ഥി പൂർണമായും നീക്കംചെയ്യുന്ന ചികിത്സാരീതിയാണ് പ്രധാനമായിട്ടും ഉള്ളത്. വളർച്ചയുടെ ഭാഗമായി കൗമാരക്കാരിൽ ഉണ്ടാകുന്ന ഗോയിറ്റർ, തൈറോക്സിൻ ഗുളിക നൽകി ചികിത്സിക്കാവുന്നതാണ്.
2. തൈറോയ് ഡൈറ്റിസ്:
തൈറോയ്ഡ് ഗ്രന്ഥിക്ക് വേദനയും പനിയും ഉണ്ടാക്കുന്ന ഈ രോഗത്തിന് വേദനസംഹാരി ഗുളികകളും വിശ്രമവും ആണ് ചികിത്സ.
3. ഹൈപ്പർ തൈറോയ്ഡിസം:
തൈറോയ്ഡ് ഹോർമോണിന്റെ ഉല്പാദനം കൂടുന്നത് കൊണ്ടുണ്ടാകുന്ന ഈ രോഗത്തിന് ആന്റി തൈറോയ്ഡ് ഗുളികകൾ ഉപയോഗിക്കുന്നു. പ്രധാനമായി ഉപയോഗിക്കുന്ന മരുന്ന് : നിയോമർക്കസോൾ (Neomercozole). ഈ ചികിത്സാരീതി ദൈർഘ്യമേറിയതാണ് (ഏകദേശം ഒന്നു മുതൽ ഒന്നര വർഷം നീണ്ടുനിൽക്കുന്നു).

തൈറോയ്ഡിനെ പൂർണമായും നീക്കംചെയ്യപ്പെടുന്ന രീതി
(Total thyroidectomy.)
ഔഷധചികിത്സയും സർജറിയും താല്പര്യമില്ലാത്തവർക്ക് റേഡിയോ അയഡിൻ ചികിത്സാരീതി സ്വീകരിക്കാം. 5 മുതൽ 8 തുള്ളിവീതം ഒരുഗ്ലാസ് പാലിലോ ജ്യൂസിലോ റേഡിയോ ആക്ടീവ് അയഡിൻ കൊടുക്കുന്നു (I 131). എന്നാൽ ഗർഭിണികളിലോ കുട്ടികളിലോ ഗർഭം ധരിക്കാൻ സാധ്യതയുള്ളവരിലോ ഈ ചികിത്സാരീതി പാടില്ല.
അർബുദമുഴകൾക്കുള്ള ചികിത്സാരീതി
എല്ലാവിധ തൈറോയ്ഡ് ക്യാൻസറുകളിലും തൈറോയ്ഡ് ഗ്രന്ഥി പൂർണമായും നീക്കം ചെയ്യും.. കൂടാതെ കഴുത്തിൽ കഴലകൾ ഉണ്ടെങ്കിൽ അതും ഈ ഓപ്പറേഷന്റെ ഭാഗമായി നീക്കംചെയ്യപ്പെടുന്നു. ഇപ്രകാരം തൈറോയ്ഡ് ഗ്രന്ഥി മുഴുവനായി നീക്കം ചെയ്തശേഷം തൈറോയ്ഡിന്റെ കോശങ്ങളോ കോശാവശിഷ്ടങ്ങളോ കഴുത്തിലോ മറ്റിടങ്ങളിലോ കാണപ്പെടുന്നുണ്ടോ എന്നറിയാനായി റേഡിയോ ആക്ടീവ് അപ്ഡേറ്റ് സ്റ്റഡി നടത്തുന്നു. അതായത് റേഡിയോ അയഡിൻ ചെറിയ ഡോസിൽ രോഗിക്ക് നൽകി തൈറോയ്ഡ് അംശങ്ങൾ കണ്ടുപിടിക്കുന്ന രീതി. ഇപ്രകാരം തൈറോയ്ഡ് ഗ്രന്ഥിയുടെ നീക്കം ചെയ്യപ്പെടാത്ത വല്ല അംശങ്ങളും ഉണ്ടെങ്കിൽ കൂടിയ അളവിൽ റേഡിയോ ആക്ടീവ് അയഡിൻ നൽകുന്നു. തൈറോയ്ഡ് ഗ്രന്ഥി നീക്കം ചെയ്തശേഷം തൈറോക്സിൻ ഗുളികകളും നൽകുന്നു..
സർജറിയുടെ പാർശ്വഫലങ്ങൾ
(1) ഓപ്പറേഷൻ സമയത്ത് ഉണ്ടാകുന്ന രക്തസ്രാവം.
(2) സ്വനതന്തുക്കളിലേക്ക് ഉള്ള നാഡികൾക്ക് ക്ഷതമോ മുറിവോ ഉണ്ടായാൽ, ശബ്ദവ്യത്യാസം.
3) അപൂർവ്വമായി രണ്ടു വശങ്ങളിലേയും നാഡികൾ (Recurrent larygal nerves) മുറിഞ്ഞുപോയാൽ സ്വനനാളിയിൽ വായു പ്രവേശിക്കാതെ മരണംവരെ സംഭവിക്കുന്ന അവസ്ഥ. ഈ അവസ്ഥ നേരത്തെ കണ്ടുപിടിച്ച് ട്രക്കിയോസ്റ്റെമി (Tracheostomy- ശ്വസനനാളിയിൽ ദ്വാരമുണ്ടാക്കി ട്യൂബിടുന്ന സർജറി ) ചെയ്യേണ്ടിവന്നേക്കും.
(4) External Laryngeal Injury: നമ്മുടെ ശബ്ദം കുറയ്ക്കുന്നതിനും കൂട്ടുന്നതിനും സഹായിക്കുന്ന നാഡികൾക്ക് ക്ഷതമേറ്റാൽ രോഗിക്ക് ശബ്ദം കൂട്ടിയും കുറച്ചും സംസാരിക്കാൻ കഴിയില്ല. അധ്യാപകർക്കും പാട്ടുപാടുന്നവർക്കും ഇതുമൂലം അവരുടെ ജോലിതന്നെ നഷ്ടപ്പെട്ടേക്കാം.
(5) തൈറോക്സിന്റെ ഉല്പാദനം കുറഞ്ഞ് ഹൈപ്പോതൈറോയ് ഡിസം (hypothyrodism) എന്ന അവസ്ഥയിലേക്ക് മാറാം. ഇതിന്റെ പ്രതിവിധിയായി തൈറോക്സിൻ നൽകാവുന്നതാണ്.
(6) അപൂർവ്വമായി തൈറോയ്ഡ് ഗ്രന്ഥി നീക്കം ചെയ്യുന്നതിനൊപ്പം അതിനോടു ഒട്ടിനിൽക്കുന്ന പാരാ തൈറോയ്ഡ് ഗ്രന്ഥികൂടി നീക്കംചെയ്യപ്പെടാം. ഇങ്ങനെ വന്നാൽ രക്തത്തിലെ കാൽസ്യം കുറഞ്ഞ് ചുണ്ടിനുചുറ്റും തരിപ്പ്, കൈകാലുകൾ കോച്ചിപ്പിടുത്തം, അപസ്മാരം തുടങ്ങിയ അവസ്ഥകൾക്ക് കാരണമായേക്കാം. അതുകൊണ്ട് തൈറോയ്ഡ് സർജറി വിദഗ്ദ്ധൻ മേൽപ്പറഞ്ഞ നാഡികളും പാരാതൈറോയ്ഡ് ഗ്രന്ഥിയും സൂക്ഷ്മതയോടെ കണ്ടുപിടിച്ച് സംരക്ഷിക്കണം.
(7) തൈറോയ്ഡ് ഗ്രന്ഥി നീക്കം ചെയ്യുമ്പോൾ ശ്വസനനാളി, അന്നനാളം എന്നിവയ്ക്ക് മുറിവോ ക്ഷതമോ സംഭവിക്കാം. ഒരു വിദഗ്ദ്ധനായ സർജൻ അവയ്ക്ക് ക്ഷതം പറ്റാതെ തൈറോയ്ഡ് ഗ്രന്ഥി പൂർണ്ണമായി നീക്കംചെയ്യാൻ കഴിയും.
കഴുത്തിലുണ്ടാകുന്ന കലകൾ (Scar Keloid)
ശസ്ത്രക്രിയയിൽ ഉണ്ടാവുന്ന മുറിവ് തടിച്ചുവീർത്ത് വരുന്നതിനെയാണ് Scar എന്നു പറയുന്നത്. ഇത് കഴുത്തിന്റെ ത്വക്കിന്റെ സൗന്ദര്യത്തെ ബാധിക്കും.
Keloid: തടിച്ചുവീർത്ത മുറിപ്പാടുകൾ, തുടർച്ചയായി വളർന്ന് കട്ടികൂടി വരുന്നതിനെ സൂചിപ്പിക്കുന്നു. കിലോയ്ഡ് ഒരു വ്യക്തിയുടെ മുറിവ് കരിയാനുള്ള പാരമ്പര്യഘടകവുമായി ബന്ധപ്പെട്ടിരിക്കുന്നു.
കലയില്ലാത്ത ഓപ്പറേഷനുകൾ
(Minimal Accessory Surgery)
പുറത്തേക്ക് കാണാത്ത ശരീരഭാഗങ്ങളിൽ കൂടി വളരെ ചെറിയ മുറിവുകൾ ഉണ്ടാക്കി തൈറോയ്ഡ് നീക്കംചെയ്യുന്ന രീതിയാണിത്. വായിൽക്കൂടിയും കക്ഷത്തിന്റെ പാർശ്വങ്ങളിൽക്കൂടിയും ചെറിയ ദ്വാരങ്ങൾ ഉണ്ടാക്കി തൈറോയ്ഡ് ഗ്രന്ഥി ലാപ്രോസ്കോപ്പിന്റെ സഹായത്തോടെ നീക്കംചെയ്യുന്ന രീതിയാണിത്.
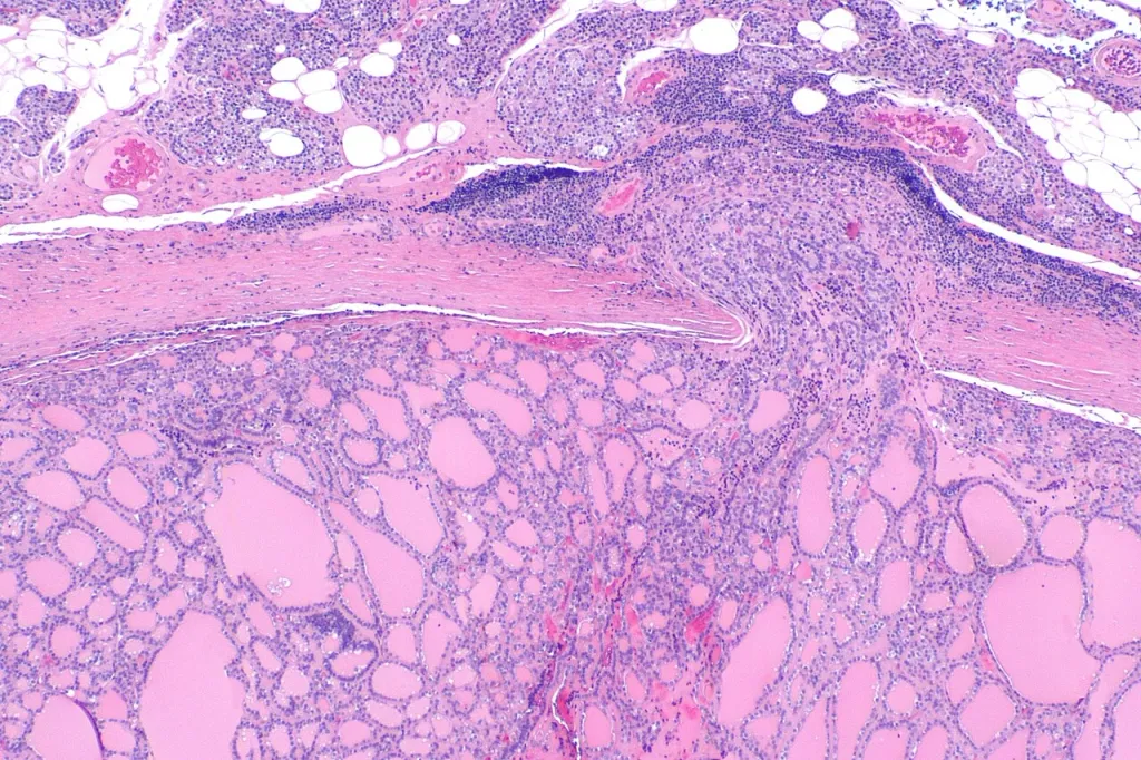
പത്തോളജി പരിശോധന
നമ്മുടെ ശരീരത്തിൽനിന്ന് തൈറോയ്ഡ് നീക്കം ചെയ്താൽ അതൊരു പത്തോളജിസ്റ്റ് പരിശോധിച്ച് അത് ക്യാൻസറാണോ സാധാരണ മുഴയാണോ എന്ന് ഉറപ്പുവരുത്തണം. സാധാരണയായി തൈറോയ്ഡുകൾ നീക്കം ചെയ്യുന്നതിനായി സർജനെയോ എൻഡോക്രൈൻ സർജനെയോ ഓങ്കോ സർജനെയോ സമീപിക്കാവുന്നതാണ്.
READ: പൈൽസ്
ഭയപ്പെടേണ്ട അവസ്ഥയല്ല,
ചികിത്സിക്കാവുന്ന
ആരോഗ്യപ്രശ്നം
ഉമിനീർ ഗ്രന്ഥികൾ,
രോഗങ്ങൾ, ചികിത്സ
മകനു പറഞ്ഞു കൊടുക്കാൻ
കാത്തുവെക്കുന്നത്…
അമീബയെക്കുറിച്ചു തന്നെ;
ഇത്തിരി വേറിട്ട ചിന്തകൾ

